Acesse procedimentos de cirurgia odontológica com máxima segurança. Na Clínica Ástre você recebe cuidado de excelência que merece
A cirurgia odontológica é um conjunto de procedimentos realizados para tratar problemas que não podem ser resolvidos com atendimentos clínicos convencionais. Ela envolve desde intervenções simples, como extrações, até tratamentos mais complexos conduzidos por especialistas em cirurgia bucomaxilofacial.
Na região da Vila Madalena, muitos pacientes buscam por soluções seguras e modernas, e clínicas especializadas oferecem suporte completo para cada caso.
A cirurgia odontológica engloba uma série de procedimentos destinados a restaurar a saúde da boca, dos dentes e das estruturas faciais, conforme o quadro apresentado. Ela pode ser classificada em níveis, da cirurgia oral simples à cirurgia odontológica avançada, que exige profissionais capacitados e equipamentos específicos.
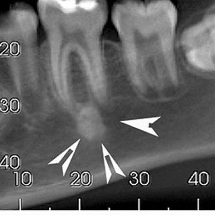
Essas intervenções são planejadas com base em diagnóstico clínico, exames de imagem e avaliação minuciosa da patologia odontológica envolvida — seja inflamação, fratura, infecção, alterações ósseas ou condições que comprometem a mordida.
Existem diferentes tipos de cirurgia odontológica, cada um indicado conforme o problema apresentado. Entre os mais comuns estão:
A cirurgia oral envolve procedimentos simples, feitos em consultório, como:
Um dos procedimentos mais realizados na cirurgia bucal, indicado para casos de inflamação recorrente, falta de espaço, dor ou impacto nos dentes vizinhos.
A cirurgia gengival é utilizada para tratar condições como gengiva aumentada, retração gengival, sangramento, perda óssea ou necessidade estética. Também faz parte dos tratamentos de gengivite e periodontite em fases avançadas.
Procedimentos mais complexos que envolvem ossos da face, articulação temporomandibular, traumas ou problemas estruturais. Pode ser necessária em casos de:
Apesar de amplamente conhecidas, são cirurgias que exigem técnicas específicas, podendo envolver enxerto ósseo, levantamento de seio maxilar e preparo do local para receber o implante.
A cirurgia com bucomaxilo é indicada para situações mais complexas, oferecendo diagnóstico aprofundado e planejamento cirúrgico completo, desde extrações e remoções do siso à procedimentos que envolvem outros tecidos.
Na Ástre, o paciente tem acesso a avaliação especializada quando existe suspeita de patologia ou necessidade de intervenção avançada.
Antes do procedimento, o dentista realiza uma avaliação clínica detalhada. Depois, podem ser necessárias:
radiografias ou tomografias
análise da patologia ou condição bucal
histórico de saúde do paciente
planejamento individualizado
Cada cirurgia tem suas particularidades, mas algumas orientações gerais incluem:
O acompanhamento é essencial para avaliar a cicatrização e para que não haja sinais de infecção ou inflamação persistente.
Você deve buscar avaliação quando apresentar dor persistente ou inflamação recorrente. Também é importante buscar o suporte profissional em caso de:
Quanto mais cedo o diagnóstico, mais simples e eficaz o tratamento.
Se você precisa tratar uma patologia odontológica, realizar uma cirurgia bucal ou deseja uma avaliação completa, agende uma consulta. A Ástre conta com profissionais experientes, estrutura moderna e atendimento humanizado para tratamentos de cirurgia odontológica, com todo o cuidado que você precisa.
