Cirurgias

Procedimentos cirúrgicos realizados com segurança, precisão e tecnologia de última geração.

Cirurgia Odontológica

Cirurgia Odontológica

Procedimentos seguros e precisos realizados com tecnologia avançada para garantir conforto e excelentes resultados.

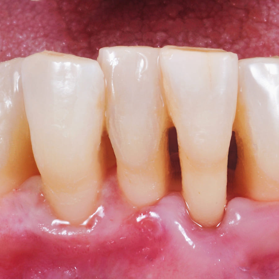
Enxerto Gengival

Enxerto Gengival

Procedimento que recupera volume e saúde da gengiva, melhorando estética e protegendo a estrutura dental.

Gengivoplastia

Gengivoplastia

Correção estética e funcional da gengiva, proporcionando harmonia no sorriso com técnicas modernas e seguras.

Frenulectomia

Frenulectomia

Remoção do freio labial ou lingual com técnica delicada, melhorando função, estética e conforto.

Bichectomia

Bichectomia

Redução das bolas de Bichat para afinar o contorno facial, com resultados naturais e recuperação tranquila.

Remoção de Fibromas

Remoção de Fibromas

Eliminação de lesões benignas na boca com precisão e conforto, preservando saúde e estética.

Remoção de Mucoceles

Remoção de Mucoceles

Tratamento seguro para retirar cistos salivares, devolvendo conforto e função ao paciente.

Sorriso Gengival

Sorriso Gengival

Correção estética que equilibra gengiva e dentes, proporcionando um sorriso mais harmônico e natural.