A extração de raiz dentária deve ser feita quando o dente não pode mais ser preservado. Agende uma extração segura com anestesia na Ástre
A extração de raiz dentária é indicada quando não há mais possibilidade de reabilitar a coroa e a raiz perde sua função, seja por fraturas, infecções, reabsorções ou falhas em tratamentos anteriores. Nessas situações, remover a raiz comprometida é fundamental para evitar dor e impedir que o problema avance.
Entre os cenários mais comuns estão:
Quando esses quadros se prolongam, podem gerar inchaço, abscessos e até comprometer dentes vizinhos. Por isso, a remoção da raiz danificada é a conduta mais segura para proteger a saúde bucal.
Na Clínica Ástre – Odontologia e Estética, o procedimento é conduzido com técnica avançada, planejamento preciso e acolhimento em cada etapa, proporcionando tranquilidade mesmo em casos mais complexos.
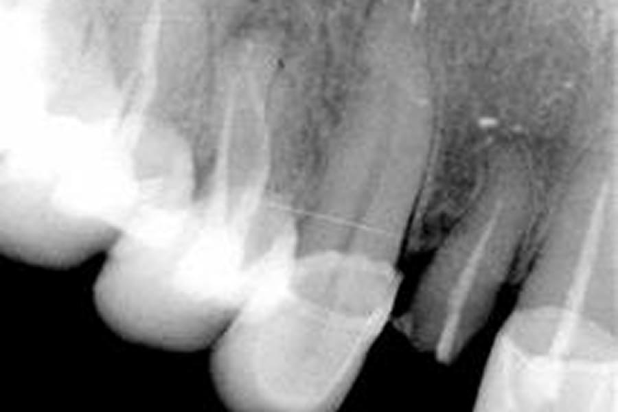
É comum que, após a quebra de um dente ou uma extração antiga, parte da raiz permaneça no osso. E muitos pacientes só descobrem isso ao sentir desconforto ou ao realizar exames de imagem.
Por isso, se você não sabe o que fazer quando sobra raiz do dente e sente incômodos, a resposta é simples: procure um profissional habilitado o quanto antes. Essa raiz residual pode causar inflamação, dor, mau hálito e até formar cistos.
A remoção de raiz residual é um procedimento seguro, rápido e fundamental para evitar complicações.
Na Clínica Ástre, a cirurgia odontológica para extração de raiz é feita de forma precisa e minimamente invasiva, seguindo etapas claras:
avaliação clínica com radiografias e, quando necessário, tomografia
planejamento conforme a posição e forma da raiz
extração de raiz dentária com anestesia local
uso de técnicas que preservam as estruturas ao redor
realização de laserterapia para auxiliar na cicatrização e no conforto pós-operatório
orientações específicas para o pós-operatório
Contar com um dentista especializado em extrações complexas torna o procedimento mais seguro, sobretudo em raízes curvadas, profundas ou próximas a áreas sensíveis.
Na Clínica Ástre, tecnologia de diagnóstico, planejamento detalhado e equipe experiente proporcionam extração de raiz com segurança e precisão, mesmo nos casos mais desafiadores.
A recuperação após extração de raiz dentária tende a ser rápida, demandando seguir corretamente as principais recomendações, que incluem:
É normal haver um leve inchaço ou sensibilidade, mas esses sintomas diminuem progressivamente.
Em uma clínica de excelência como a Ástre, o acompanhamento é próximo e personalizado, proporcionando suporte durante todo o processo.
Com mais de 23 anos de tradição na região, a Clínica Ástre – Odontologia e Estética é referência em extração de raiz dentária na Vila Madalena, unindo tradição, tecnologia e atendimento humanizado.
A clínica oferece:
A Clínica Ástre entende que cada paciente precisa de atenção personalizada, especialmente em procedimentos como a remoção de resto de dente, raízes inflamadas ou raízes residuais.
Por isso, se deseja experienciar a excelência em atendimentos odontológicos, não perca mais tempo e agende sua avaliação e conte com a expertise da Clínica Ástre – Odontologia e Estética.
