Realize a frenulectomia lingual ou labial para corrigir problemas como língua presa e diastemas com a expertise da Ástre
A frenulectomia é um procedimento simples e preciso, indicado para corrigir alterações no freio labial ou lingual (comum em quadros de “lingua presa”) que podem comprometer a fala, a respiração, a amamentação (em bebês), a mastigação e até a estética do sorriso.
Em clínicas de excelência como a Clínica Ástre Odontologia e Estética, que alia mais de 23 anos de tradição a uma estrutura moderna e multidisciplinar, a frenulectomia é realizada com tecnologia avançada, cuidado humanizado e foco em resultados naturais.
Seja para a correção de freio lingual, para melhorar a mobilidade da língua; ou para a correção de freio labial, associada à correção de diastema, o procedimento oferece uma solução definitiva para quadros de limitação funcional e estética.
Atualmente, a técnica mais procurada é a frenulectomia a laser, também chamada de cirurgia de freio a laser, que entrega conforto, precisão e recuperação acelerada.
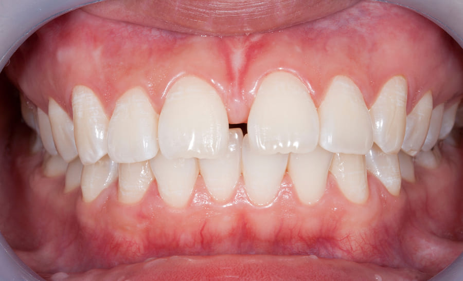
A frenulectomia é um procedimento que remove ou reposiciona o freio, tecido que conecta lábio e gengiva (freio labial) ou língua e assoalho bucal (freio lingual). Quando esse tecido é curto, espesso ou preso, ele pode limitar movimentos naturais da boca e afetar diversas funções.
A correção de freio lingual é indicada em casos de língua presa, dificuldade na fala, limitações na mastigação e até restrições respiratórias. Ela traz benefícios como:
Em crianças, a correção de língua presa pode prevenir problemas ortodônticos e respiratórios. Em adultos, melhora a funcionalidade e até a qualidade do sono.
Já a correção de freio labial é recomendada quando o freio interfere na estética, afeta o posicionamento dos dentes ou contribui para a abertura entre os incisivos superiores. O procedimento pode ser realizado em conjunto com a correção de diastema, como tratamento integrado. Entre os benefícios estão:
Seja lingual ou labial, de modo geral, os principais sinais de que você pode precisar de uma frenulectomia incluem:
Tanto a frenulectomia lingual quanto a frenulectomia labial são procedimentos rápidos e seguros.
A frenulectomia a laser é a técnica mais recomendada por oferecer um procedimento minimamente invasivo, silencioso e extremamente preciso. Na Clínica Ástre, a cirurgia a laser é utilizada para remover ou reposicionar o freio com total controle, reduzindo sangramentos e acelerando o processo de cicatrização.
As principais vantagens da cirurgia de freio a laser incluem:
Por essas razões, a frenulectomia a laser é amplamente utilizada na correção de freio lingual preso e na remoção de freio labial, proporcionando resultados funcionais e estéticos.
A experiência na Clínica Ástre é personalizada e acolhedora desde o primeiro contato. O processo envolve:
Especialistas em odontologia avaliam a necessidade da frenulectomia lingual, frenulectomia labial, ou ambas. Também é analisado se há relação com fala, respiração e postura da língua.
O diagnóstico é feito com equipamentos modernos, promovendo segurança ao definir o melhor tipo de correção de freio lingual preso ou correção de freio labial.
A frenulectomia a laser é rápida, precisa e praticamente indolor. Em poucos minutos, o freio é removido ou reposicionado.
A recuperação é tranquila, com orientações claras e acompanhamento cuidadoso da equipe Ástre.
Para a frenulectomia segura, precisa e com recuperação rápida, a Clínica Ástre, na Vila Madalena, é a melhor opção. A Ástre oferece a estrutura ideal para sua experiência completa e segura.
Com mais de 23 anos de tradição, equipe qualificada e tecnologia de ponta, você realiza sua correção de freio lingual ou labial com total conforto e acompanhamento individualizado.
Agende sua avaliação e permita que especialistas cuidem de você, transformando sua fala, seu sorriso e sua qualidade de vida. Entre em contato e inicie seu tratamento com quem une excelência, precisão e cuidado humanizado.
