A reabilitação oral permite integrar procedimentos para obter um sorriso harmônico e funcional. Realize sua avaliação e recupere o sorriso na Ástre
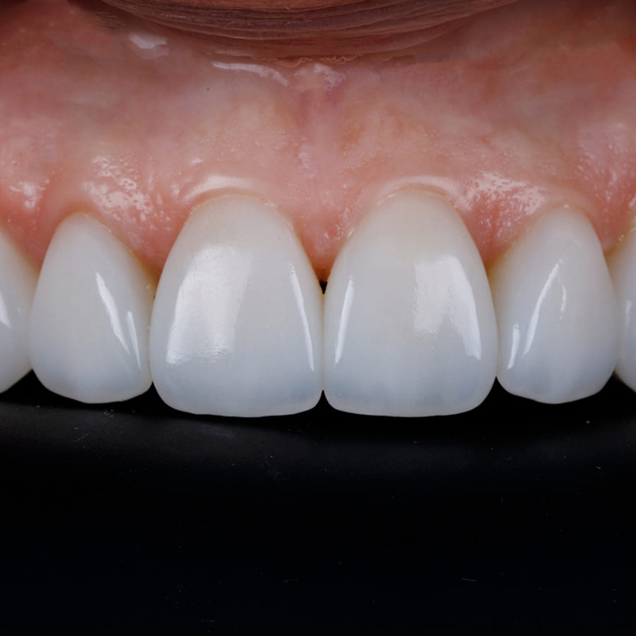
A reabilitação oral é um tratamento completo que visa restaurar dentes comprometidos, devolver a função, a estética e a harmonia do sorriso, recuperando a confiança e o bem-estar do paciente.
Quando bem planejada, também devolve a naturalidade do sorriso, melhora a mastigação, corrige desgastes severos, substitui dentes perdidos e realinha toda a estrutura bucal para um resultado duradouro. Assim, promovendo mais qualidade de vida e autoestima.
Na Clínica Ástre – Odontologia e Estética, o processo é conduzido de forma personalizada, integrando tecnologia, alta especialização e uma equipe multidisciplinar que trabalha em conjunto para oferecer o melhor em reabilitação estética e funcional.
Assim, cada paciente vivencia uma jornada completa, confortável e cuidadosamente planejada para conquistar um sorriso renovado.
A reabilitação oral consiste em um conjunto de procedimentos que devolvem estética, função mastigatória, saúde periodontal e equilíbrio da mordida. É indicada para pacientes com múltiplos problemas, como:
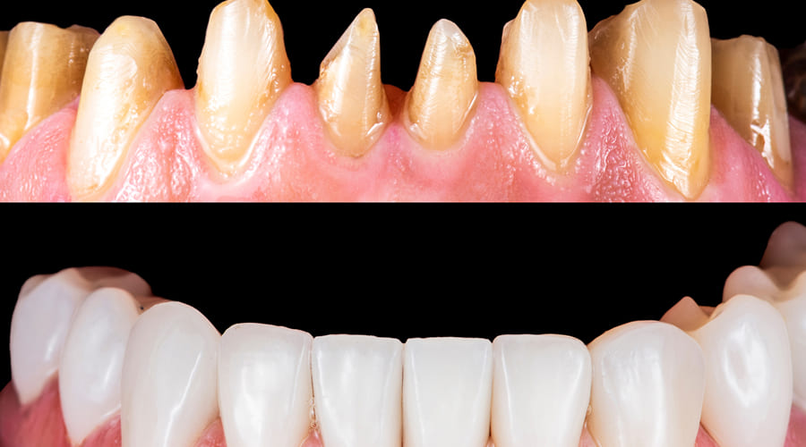
Da mesma forma, a reabilitação oral completa pode ser recomendada para quem apresenta dentes escurecidos, possui discretos desalinhamentos, sofre com dores na articulação e deseja dentes novos com naturalidade e equilíbrio.
Por isso, chamamos de reabilitação funcional e estética, pois ela une solução clínica e resultado visual de alto nível.
A reabilitação oral é personalizada e combina diferentes tratamentos para devolver função, estética e saúde ao sorriso. Entre os procedimentos que podem fazer parte desse processo estão:
Na Ástre, uma reabilitação multidisciplinar envolve a integração de diferentes especialidades para mais precisão, naturalidade e um plano construído sob medida para cada paciente.
A reabilitação multidisciplinar permite analisar o caso de forma ampla, unindo diferentes olhares para construir um resultado harmonioso e funcional. Na Clínica Ástre, cada especialidade contribui com:
Essa combinação de competências evita decisões isoladas e promove um tratamento mais seguro, equilibrado e duradouro.
Os pacientes que passam por uma reabilitação oral completa experimentam mudanças profundas na aparência e na funcionalidade. Os benefícios incluem:
Na Clínica Ástre, localizada na Vila Madalena e com mais de 23 anos de tradição, o processo segue um fluxo de excelência e altamente tecnológico:
A clínica oferece um ambiente acolhedor, equipamentos de ponta e uma equipe altamente preparada para proporcionar a melhor experiência ao paciente.
A reabilitação oral na Clínica Ástre é o caminho ideal para recuperar função, estética e qualidade de vida com um tratamento personalizado e de alto padrão. Aqui, você encontra especialistas experientes, tecnologia avançada e uma abordagem multidisciplinar que garante dentes novos, naturais e funcionais.
Entre em contato, agende sua consulta e descubra como conquistar um sorriso renovado em um cuidado que acompanha você em cada etapa.
