A restauração dental visa recuperar dentes, tratando dor, cárie e quebras. Se deseja voltar a sorrir com confiança, conte com a Ástre
A restauração dental é um procedimento importante para recuperar a função e a estética dos dentes.
Seja para tratar dor de dente, cáries, reparar um dente quebrado, substituir materiais antigos ou devolver confiança ao sorriso; as novas técnicas de restauração oferecem resultados duráveis e imperceptíveis.
Na Clínica Ástre – Odontologia e Estética, localizada na Vila Madalena, a restauração dental faz parte dos procedimentos de odontologia de excelência, que une tecnologia digital, materiais de alta performance e profissionais experientes.
A restauração dental tem como objetivo reparar dentes danificados por cárie, fraturas, desgaste ou restaurações antigas. Ela é indicada em situações como:
Além de devolver a função mastigatória, as técnicas modernas preservam a estrutura, protegem o dente e entregam um acabamento estético de alto nível.
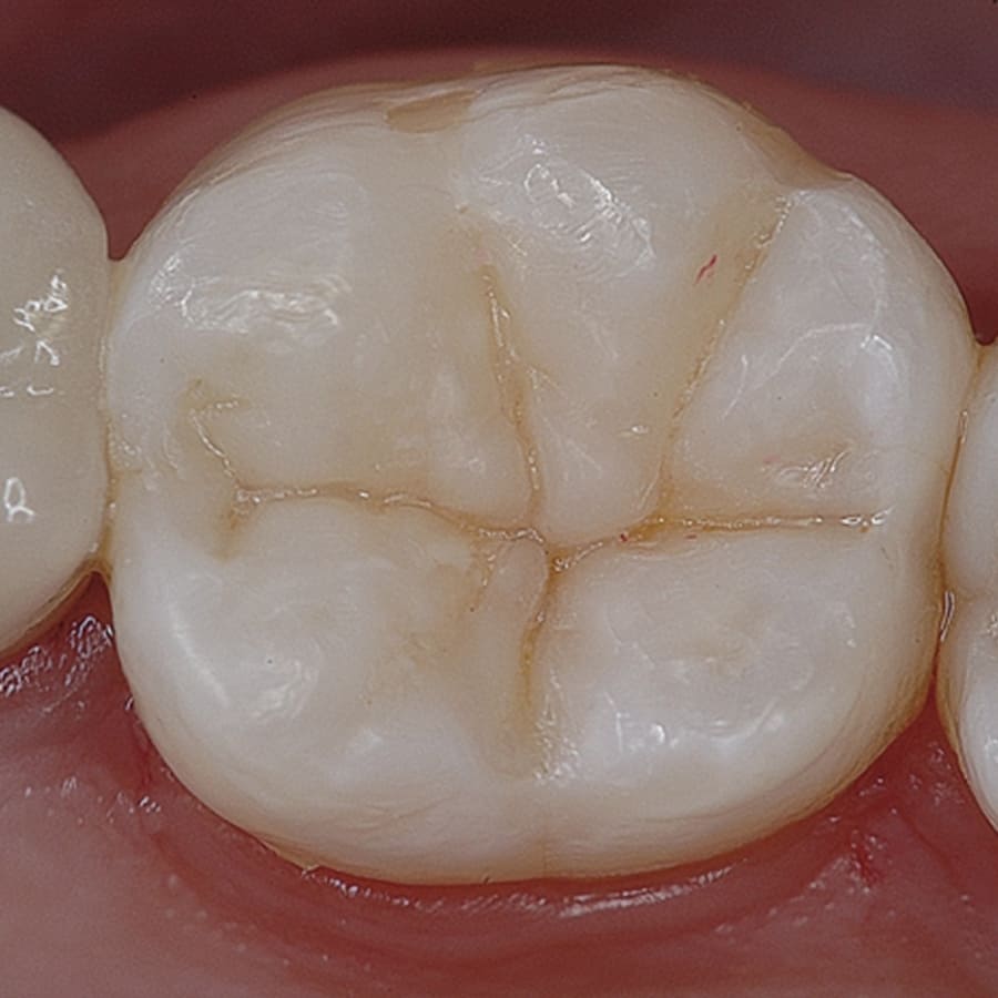
A restauração em resina composta é a técnica mais utilizada atualmente, principalmente por sua estética. Ela permite reconstruções naturais, com camadas que imitam a cor, a translucidez e a textura dos dentes verdadeiros.
Entre os principais benefícios dessa técnica estão:
Na Ástre, os materiais utilizados seguem altos padrões de qualidade para um excelente desempenho clínico.
As facetas em resina são indicadas para pacientes que desejam melhorar cor, formato e harmonia dos dentes. Apesar de serem mais conservadoras que facetas cerâmicas, oferecem excelente acabamento. Podem corrigir:
É uma solução personalizada e minimamente invasiva dentro da estética moderna.
Hoje, a demanda por dentes mais naturais e harmônicos aumentou, e muitos pacientes buscam a substituição de amálgama por materiais estéticos. Na Clínica Ástre, a substituição de restauração metálica ou antiga é feita com extrema cautela, evitando danos à estrutura dental. O procedimento envolve:
Nem sempre a dor indica cárie profunda, mas é um alerta importante. Situações como dente doendo ou sensibilidade podem significar:
Uma avaliação detalhada, com exames modernos, permite identificar o problema e orientar o melhor tipo de restauração dental com precisão.
Com tecnologia e técnicas de estética dental avançada, cada dente pode ser reconstruído com harmonia, alinhamento estético e acabamento impecável. Aqui, entram procedimentos como:
A Clínica Ástre integra recursos digitais que melhoram a qualidade do tratamento, tornando cada restauração dental com precisão ainda mais confiável. Entre as tecnologias utilizadas estão:
Seja para tratar uma cárie, reparar um dente quebrado ou obter um sorriso mais harmônico, a Clínica Ástre – Odontologia e Estética oferece protocolos de restauração dental personalizados.
Nossos especialistas utilizam técnicas de alta precisão e materiais modernos para mais naturalidade, conforto e durabilidade. Com mais de 23 anos de tradição na Vila Madalena e uma estrutura multidisciplinar completa, a Clínica Ástre une tecnologia, expertise e cuidado humanizado para transformar sorrisos.
Entre em contato e agende sua avaliação. Seu sorriso merece o melhor da estética e da odontologia moderna — e você encontra tudo isso aqui.
