O tratamento de canal permite preservar dentes comprometidos por cáries e inflamações. Veja quando fazer com toda a segurança com a Ástre
O tratamento de canal é um importante procedimento para preservar dentes comprometidos por cárie profunda, fratura, inflamação ou infecção. Apesar de estar cercado por mitos, a técnica é moderna e confortável.
Na Clínica Ástre – Odontologia e Estética, localizada na Vila Madalena, o tratamento endodôntico é realizado com abordagem multidisciplinar e equipamentos de ponta. Tudo para mais precisão, rapidez e uma experiência mais tranquila, mesmo para quem tem receio de ir ao dentista.
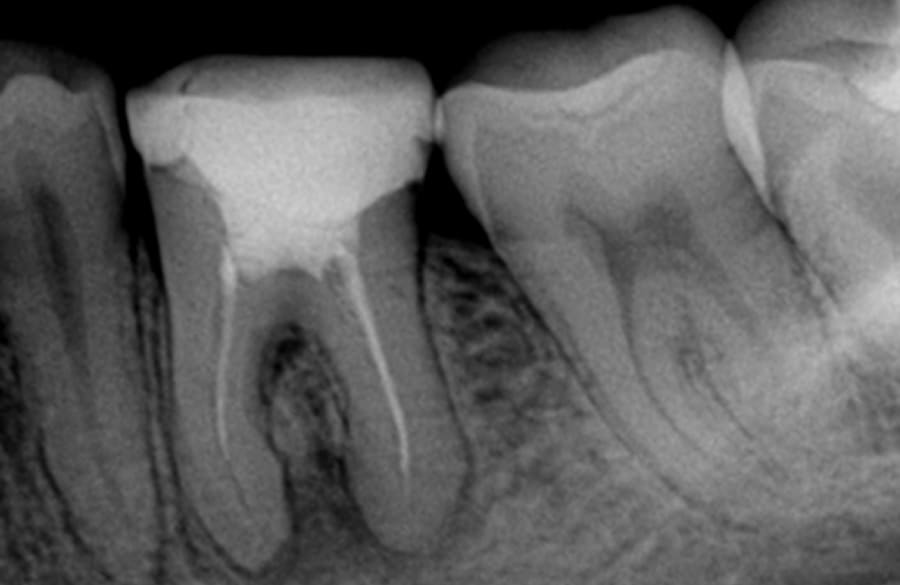
O tratamento de canal consiste na limpeza, desinfecção e selamento do interior do dente — região onde fica o nervo e os vasos sanguíneos. Quando essa área sofre inflamação, o canal precisa ser tratado para evitar dores intensas, abscessos e até a perda do dente.
Esse procedimento, também conhecido como tratamento endodôntico, é essencial para salvar dentes que seriam extraídos em situações mais antigas.
Alguns sinais comuns indicam a necessidade de um tratamento de canal sem dor, como:
Em muitos casos, contudo, o paciente não sente dor. Por isso, consultas periódicas são fundamentais para detectar danos com rapidez.
A Clínica Ástre utiliza tecnologias modernas que tornam o tratamento endodôntico mais seguro, preciso e confortável. Principais recursos utilizados:
Essa combinação aumenta a taxa de sucesso e proporciona um tratamento de canal sem dor, mesmo em casos mais delicados.
A endodontia em sessão única é uma das técnicas mais desejadas pelos pacientes, pois otimiza o tempo e acelera a recuperação. Ela pode ser realizada quando:
Na Clínica Ástre, o dentista avalia cada caso individualmente e, sempre que possível, prioriza o tratamento de endodontia em sessão única.
Para quem tem medo, ansiedade ou sensibilidade aumentada, o tratamento de canal com sedação consciente é uma excelente alternativa. Essa sedação proporciona relaxamento, mantém o paciente acordado e permite que o procedimento seja realizado com mais tranquilidade. Essa técnica é especialmente recomendada para:
O retratamento de canal é indicado quando um canal previamente tratado volta a apresentar sintomas ou infecção. Pode ocorrer por:
Graças ao tratamento endodôntico com lupa, o tratamento de canal é mais assertivo. E, se necessário, o retratamento se torna mais previsível, preciso e seguro. Na Clínica Ástre, utilizamos tecnologia avançada para identificar a causa e tratar o dente de forma definitiva.
Após o tratamento de canal, é normal sentir uma leve sensibilidade por alguns dias. Ela desaparece com analgésicos simples e a recuperação costuma ser rápida, especialmente quando técnicas modernas são utilizadas.
Para um pós-operatório ainda melhor, evite mastigar alimentos duros no lado tratado, mantenha boa higiene bucal e retorne para realizar a restauração final ou coroa com acompanhamento contínuo do profissional.
Experimente a mais alta tecnologia e expertise profissional nos tratamentos com a Clínica Ástre. Com mais de 23 anos de tradição na Vila Madalena, a Ástre oferece uma experiência diferenciada em uma clínica multidisciplinar que reúne especialistas capacitados, estrutura moderna, equipamentos de última geração e um ambiente acolhedor.
Entre em contato e comece seu tratamento com uma equipe experiente que coloca sua saúde, tranquilidade e bem-estar em primeiro lugar!
